上海吉凯基因医学科技股份有限公司品牌商

15

手机商铺

qrcode
商家活跃:
产品热度:
  • NaN
  • 0.5
  • 0.5
  • 1.5
  • 0.5
品牌商

上海吉凯基因医学科技股份有限公司

入驻年限:15

  • 联系人:

    付经理

  • 所在地区:

    上海 浦东新区

  • 业务范围:

    技术服务、试剂

  • 经营模式:

    生产厂商 科研机构 代理商

在线沟通

公司新闻/正文

Science Advances|苏州大学程坚/贾佳团队合作发现H2S“受体”

1057 人阅读发布时间:2020-11-13 16:21

H2和 NOCO 被认为是气体信号分子。上世纪末,对NO信号通路分子靶点和机制的研究,最终促成药物“伟哥”的发现。H2S不仅具有广泛和重要的生理功能,还被认为和癌症、唐氏综合征以及精神/神经类疾病密切相关;而且H2S在动物模型对脑卒中等多种疾病表现出治疗作用。但H2S是通过何种信号传导机制产生生理及药理作用,一直是未解难题。特别是,H2S对细胞呼吸链线粒体复合物IV具有很强的抑制作用。而决定H2S的治疗作用能否向临床转化的关键是:H2S发挥治疗作用的分子靶点和机制能否与上述毒性机制相区分。
 
苏州大学神经科学研究所程坚教授和药学院贾佳教授课题组经过合作研究,利用出血性脑卒中模型发现硫醌氧化还原酶(SQR)是H2S发挥药理作用的关键分子靶点。2020年8月26日,相关研究结果以“SQR mediates therapeutic effects of H2S by targeting mitochondrial electron flow to induce mitochondrial uncoupling”为题在《Science Advances》(2019年Impact Factor 13.116,5-Year Impact Factor 14.094)发表。SQR是启动H2S氧化代谢第一步的关键酶,其功能是将H2S氧化为过硫化物。由于SQR启动了H2S的不可逆氧化代谢,所以长期以来SQR一直被认为抑制H2S信号传导。然而,程坚和贾佳团队发表的文章表明:SQR是介导H2S胞内信号传导和药理作用的关键分子靶点
新闻图片1
 

研究方法

AMPK是细胞内的能量感受器,AMPK也是机体炎症应答的关键调控酶之一。程坚和贾佳课题组2014年发表的文章表明内源性H2S和外源性H2S供体可激活AMPK抑制小胶质细胞炎症应答,提示AMPK激活可能是H2S信号转导的重要机制。
 
AMPK是细胞内的能量感受器,胞内ATP水平下降是AMPK活化的关键机制。线粒体解偶联是指细胞在氧化底物时释放的能量不被线粒体ATP合成酶用于合成ATP,而是以热能的形式释放。线粒体解偶联是导致细胞内ATP下降的重要机制之一。线粒体解偶联的重要特征是:胞内ATP水平的下降、线粒体膜电位水平下降、以及在ATP合成酶抑制剂oligomycin存在时细胞氧耗量的上升。
 
为探索H2S激活AMPK的机制,研究人员首先测定了这些线粒体解偶联指标,发现缓释供体ADT-OH在小胶质细胞可导致线粒体解偶联(图1A-F)。研究人员提供的补充数据进一步表明结构不相关的H2S供体5a也能导致线粒体解偶联。研究人员进一步利用过表达H2S合成酶CBS的慢病毒(吉凯基因提供)构建了过表达CBS的HEK293稳转细胞系。在HEK293细胞过表达CBS不仅导致内源性H2S水平上升,而且在HEK293细胞导致线粒体解偶联(图1G-L),而在培养液中加入ZnCl2可以阻断过表达CBS导致的线粒体解偶联,提示CBS通过游离H2S导致解偶联。(图1K-L)。这些结果表明不论是外源H2S供体还是是内源性产生的H2S均可导致线粒体解偶联。
新闻图片2
图1. 外源和内源性H2S诱导线粒体解偶联
 
线粒体解偶联剂对多种疾病,如心脑血管疾病、代谢综合征及神经炎症等具有治疗作用。目前已发现的线粒体解偶联剂均是质子载体。线粒体内膜两侧的质子梯度是驱动线粒体ATP合成酶合成ATP的能量来源。因此,质子载体通过直接携带质子跨线粒体内膜,降低线粒体内膜两侧的质子梯度从而导致线粒体解偶联。但质子载体毒性大,无法用于临床。上述结果表明H2S可导致线粒体解偶联,但H2S导致线粒体解偶联机制是否与直接转运质子相关?
 
研究人员发现:H2S供体在小胶质细胞导致线粒体解偶联。而小胶质细胞表达H2S氧化代谢酶SQR,而原代神经元则不表达SQR(图2A-B)。值得注意的是,外源H2S供体ADT-OH不能在原代神经元导致线粒体解偶联,而经典的质子载体FCCP在神经元能导致线粒体解偶联(图2C-G)。利用慢病毒技术(吉凯基因构建) 导致原代神经元异源表达SQR后,外源H2S供体ADT-OH则可导致线粒体解偶联,而在小胶质细胞敲减内源性SQR则阻断H2S供体导致的线粒体解偶联(图2H-M)。这些结果表明H2S不是作为质子载体导致线粒体解偶联,而是通过SQR导致线粒体解偶联。特别值得指出的是:内源性H2S和缓释H2S供体ADT-OH仅通过SQR特异性地导致线粒体解偶联,而不抑制线粒体复合物IV(图2N-O),提示H2S的生理/药理机制有可能与其毒性机制相区分。
新闻图片3
图2.H2S诱导的线粒体解偶联需要SQR,
并且与H2S对复合物IV的抑制作用分离
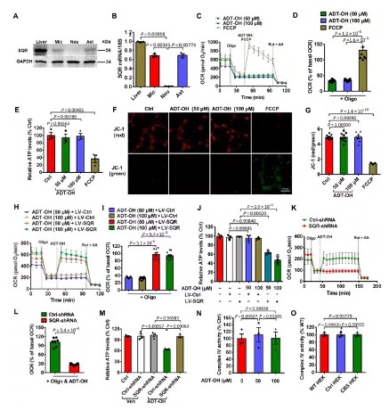
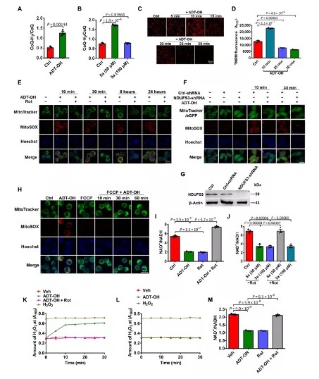
H2S是如何通过SQR导致线粒体解偶联?已有研究提示SQR在H2S化氢时有可能导致线粒体复合物I水平的反向电子传递,即复合物I将电子从还原型CoQH2传递给氧化型NAD+。由于复合物I水平的反向电子传递可产生大量的线粒体氧自由基,而线粒体氧自由基是激活内源性解偶联蛋白(UCP)的重要内源性因子。因此,研究人员推测H2S有可能通过SQR导致复合物I水平的反向电子传递并产生氧自由基,从而激活内源性UCP。
 
为探讨H2S通过SQR导致线粒体解偶联的机制,研究人员首先探讨H2S被SQR氧化后能否驱动电子在线粒体复合物I水平的反向传递,并产生线粒体氧自由基。复合物I的反向电子传递需要两个关键条件:细胞内还原型CoQH2处于高水平、以及极高的线粒体膜电位。研究人员利用高效液相-质谱联用技术发现H2S供体在导致线粒体解偶联的浓度下可显著升高细胞内CoQH2/CoQ比率(图3A-B)。特别是,H2S供体在导致解偶联后虽能降低线粒体膜电位,但是在降低膜电位之前供体能导致线粒体膜电位升高(图3C-D)。这些结果提示在导致线粒体解偶联前H2S有可能驱动电子在复合物I水平的反向电子转移。复合物I 水平的反向电子转移另一重要特征是产生线粒体氧自由基,且这一作用能被复合物I抑制剂鱼藤酮阻断。另外,高线粒体膜电位是复合物I 水平反向电子转移产生的必要条件。因此,当细胞以极低浓度解偶联剂FCCP预处理以轻微降低线粒体膜电位时,也能阻断复合物I 水平的反向电子转移。图3E-F表明H2S诱导产生的线粒体氧自由基不仅被鱼藤酮阻断,而且敲减内源性线粒体复合物I亚基NDUFS3也阻断H2S诱导产生的线粒体氧自由基。特别是,细胞以纳摩尔的FCCP预处理也能阻断H2S诱导产生的线粒体氧自由基(图3H)。复合物I反向电子传递导致还原型CoQH2的电子传递给氧化型NAD+。因此,复合物I反向电子传递会导致线粒体NAD+/NADH比率下降,且这一作用可被鱼藤酮阻断。图3I-J表明H2S供体在导致线粒体解偶联的浓度下降低线粒体NAD+/NADH比率,且这一作用被鱼藤酮阻断。研究人员进一步利用从BV2小胶质细胞纯化的线粒体,表明H2S供体导致线粒体氧自由基产生并导致线粒体NAD+/NADH比率下降,且这些作用可被鱼藤酮阻断(图3K和3M);而H2S供体不能导致从神经元纯化的线粒体产生氧自由基(图3L)。综上,结果表明H2S可能通过SQR导致复合物I水平的反向电子传递并产生氧自由基。
新闻图片4
 
图3. SQR介导的H2S氧化驱动复合物I反向电子转移
并改变线粒体功能以产生ROS
 
研究人员进一步探讨H2S是否通过线粒体氧自由基激活内源性解偶联蛋白UCP2导致细胞线粒体解偶联。通过检测上述三种解偶联指标,研究人员发现复合物I抑制剂鱼藤酮、UCP2激活抑制剂genipin或线粒体氧自由基清除剂MitoTempo均可阻断H2S在小胶质细胞导致线粒体解偶联的作用(图4A-E及补充数据)。相应地,利用siRNA敲减内源性线粒体复合物I亚基NDUFS3或UCP2,也可以阻断H2S在小胶质细胞导致线粒体解偶联的作用(图4F-N)。因此,药理学抑制或基因敲减技术均提示H2S通过线粒体氧自由基激活内源性解偶联蛋白UCP2。此外,研究人员还提供补充数据表明敲减内源性SQR或鱼藤酮抑制还能阻断H2S激活AMPK的作用。这表明H2S对下游AMPK的活化的作用也依赖于SQR及复合物I水平的反向电子传递。
新闻图片5
图4. H2S通过复合体I反向电子转移和UCP2导致线粒体解偶联
 
为进一步表明H2S通过SQR及下游AMPK激活发挥药理作用,研究人员首先在细胞模型利用红细胞裂解液激活小胶质细胞,以模拟脑出血后小胶质细胞的激活及炎症应答。缓释H2S供体ADT-OH显著抑制多种促炎症因子在红细胞裂解液激活的小胶质细胞中的诱导表达,而在小胶质细胞中敲减SQR、线粒体复合物I亚基NDUFS3、或AMPK内源性表达则阻断ADT-OH对促炎症因子表达的抑制作用。相应地,ADT-OH在红细胞裂解液激活的小胶质细胞中显著提高AMPK的活化水平,而在小胶质细胞敲减内源性SQR或线粒体复合物I亚基NDUFS3也阻断ADT-OH激活AMPK的作用。该研究还首次制备了SQR条件性敲除小鼠,并与Cx3cr1-Cre小鼠杂交,获得了在小胶质/巨噬细胞特异性敲除SQR的基因工程小鼠。研究人员利用基因敲除鼠在脑出血整体动物模型获得的结果进一步表明:小胶质/巨噬细胞特异性敲除SQR阻断缓释H2S供体ADT-OH在脑出血后抑制神经炎症、降低脑水肿及提高神经行为学功能的作用。同时,研究人员还利用慢病毒介导的shRNA在小鼠纹状体敲减内源性SQR水平,发现敲减SQR也阻断ADT-OH对脑出血的治疗作用。综上,利用脑出血细胞和动物模型,研究人员发现SQR是H2S发挥药理作用的特异分子靶点。
 

总 结

综上,研究人员表明SQR是介导内源性和缓释H2S胞内信号传导的关键酶。内源和缓释供体释放的H2S被SQR氧化后驱动电子在线粒体复合物I水平的反向传递,从而导致线粒体氧自由基的产生。线粒体氧自由基进而通过激活解偶联蛋白导致H2S的胞内信号传导,如下游AMPK的激活。而H2S的药理作用也通过SQR和下游的AMPK介导。
新闻图片6
 
这一研究表明SQR实际上发挥了H2S受体的功能:即SQR通过对H2S的氧化代谢启动了H2S胞内特异性信号传导。该研究还首次表明SQR是导致线粒体解偶联的分子新靶点。线粒体解偶联剂对多种疾病,如心脑血管疾病、代谢综合征及炎症等相关疾病具有治疗作用。因此,该研究对研发自主创新药具有重要意义。以SQR作为首创的药物靶标开发新型线粒体解偶联剂的技术已申报国家发明专利。目前课题组正致力于以SQR为靶点合作开展新药研发。

吉凯助力

本研究所用到的慢病毒Lenti-CBS-eGFP、Lenti-SQR-eGFP、Lenti-SQR-shRNA、Lenti-AMPK-shRNA和Lenti-NDUFS3-shRNA及对照病毒均由吉凯基因提供,分别用于感染原代小胶质细胞、原代神经元和HEK293细胞,并在细胞水平成功实现了靶蛋白的过表达或显著降低。此外,慢病毒Lenti-SQR-shRNA还直接注射入小鼠纹状体,成功实现靶蛋白在特定脑区域的敲减。
 
注射部位:纹状体
注射剂量:注射2个位点,1 μL/位点
注射速率:0.5 μL/min
检测时间:2周
新闻图片7
 
Lenti-SQR-shRNA注射后14天,在小鼠纹状体中striatum ipsilateral(Ipsil)成功敲减了SQR内源性表达
新闻图片8
欢迎扫码添加好友,获取免费的直播课+工具病毒手册
 
本论文受国家自然科学基金项目资助,通讯作者为苏州大学药学院贾佳教授和苏州大学神经科学研究所程坚教授。贾佳教授和研究生王子闯、张敏洁为共同第一作者。南京大学华子春教授、苏州大学秦樾教授和苏州大学附属第二医院曹勇军教授对论文亦有重要贡献

上一篇

Circulation:南京医科大学附属第一医院揭示心肌再生新机制-CHK1-mTORC1/P70S6K通路

下一篇

11月热促——定制病毒7折

更多资讯

我的询价