上海吉凯基因医学科技股份有限公司品牌商

15

手机商铺

qrcode
商家活跃:
产品热度:
  • NaN
  • 0.5
  • 0.5
  • 1.5
  • 0.5
蛋白质组学检测
¥800
品牌商

上海吉凯基因医学科技股份有限公司

入驻年限:15

  • 联系人:

    付经理

  • 所在地区:

    上海 浦东新区

  • 业务范围:

    技术服务、试剂

  • 经营模式:

    生产厂商 科研机构 代理商

在线沟通

公司新闻/正文

大规模蛋白质组检测 | Molecular Cell:上海药物所揭示了KRAS突变肿瘤的分子分型和精准治疗新策略

705 人阅读发布时间:2021-11-16 11:46

KRAS是人类癌症中最常见的突变癌基因之一,约占所有肿瘤的15%~20%,是肺癌、结直肠癌、胰腺癌等高死亡率肿瘤的重要癌驱动基因。由于KRAS下游信号通路的复杂代偿及反馈调节,因此针对KRAS突变的肿瘤仍无有效的治疗手段。
新闻图片1
中国科学院上海药物研究所研究员谭敏佳和研究员黄敏团队合作在《Molecular Cell》(中科院JCR一区,IF:17.970)上发表了题为“A proteomic and phosphoproteomic landscape of KRAS mutant cancers identifies combination therapies”的研究论文。研究开展了大规模肿瘤细胞样本的蛋白质组学检测,全景描绘了KRAS突变肿瘤的蛋白质组和磷酸化信号通路,实现了基于多组学的KRAS突变肿瘤的分子分型,并在此基础上揭示了KRAS突变肿瘤的精准治疗新策略。

研究结果
蛋白组学和磷酸化蛋白组学鉴定结果
作者对43种KRAS突变和10种KRAS野生型(KRAS WT)的癌细胞系进行了蛋白组学和磷酸化蛋白组学检测。最终检测到超过 14500个蛋白质和超过 5600个磷酸化蛋白质及19700个磷酸化肽段。43种KRAS突变来自胰腺腺癌(PAAD)、非小细胞肺癌(NSCLC)、结肠直肠腺癌(COAD/READ)、乳腺浸润癌(BRCA)、胃腺癌(STAD)、宫颈鳞状细胞癌和宫颈腺癌(CESC)以及膀胱尿路上皮癌(BLCA)。
新闻图片2

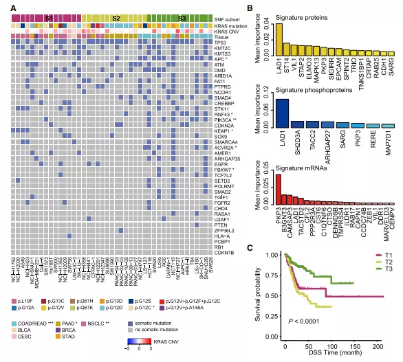
KRAS突变癌细胞的分子亚型及特征
来自癌症药物敏感性基因组学(GDSC)数据库的公开转录组数据,以及此次实验的蛋白组学和磷酸化蛋白组学,无监督聚类产生了3个亚型:S1、S2和S3。三个KRAS亚型的KRAS突变类型和拷贝数变异(CNV), 除了G12C突变富集在S1 ,其他亚群之间没有统计学上的显著差异。研究者使用随机森林学习方法提取了最重要的分子特征来区分亚型,共确定了16种蛋白质、8种磷酸化蛋白或21种mRNA分别作为蛋白质、磷酸化蛋白或mRNA水平的分子分型标志物。基于21个特征mRNA对TCGA数据库中507个KRAS突变的临床样本进行非监督聚类分析,将KRAS突变肿瘤病人分为预后显著差异的三个亚型,证实了本研究发现的分子分型具有显著的临床意义。
新闻图片3

生信分析揭示KRAS突变亚型中独特的分子特征
基因集富集分析(GSEA)表明,S2显示出明显高于其他两个亚型的致癌信号通路富集,这可能解释了驱动基因突变频率最低的相应T2患者最差的临床结局。S1在mRNA水平上显示了细胞周期相关途径的富集,以及在mRNA和蛋白质水平上的EMT和MYC途径。S2显示了KRAS和炎症反应途径的富集。在S3中,富集了最少的通路,这可能部分解释了S3患者的最佳预后。
为了识别功能上重要的亚群特异性磷酸化,作者从PhosphoSitePlus数据库中检索了所有功能注释的磷酸化位点。与S3相比,S1或S2中出现了参与细胞凋亡抑制、细胞生长和细胞运动的较高水平的磷酸化位点,以及参与细胞凋亡诱导、细胞分化和转录抑制的较低水平的磷酸化位点。激酶-底物富集分析发现,细胞周期蛋白依赖性激酶CDK5和CDK2在S1富集,而RTK,如EGFR和MET,以及非受体酪氨酸激酶ABL1在S2富集。这一结果可能部分解释了这三个亚型之间差异激活的信号通路。
新闻图片4

KRAS突变癌症的亚型特异性治疗药物
为了进一步确定亚组特异性疗法及其分子指标,研究者分析了药物-蛋白质和药物-磷酸化位点的相关性。共确定了与MEKi、ERKi或AKTi这几类药物敏感性高度相关的几种常见蛋白质和磷酸化位点。在高度相关的蛋白质中,发现了多种亚型特异性的癌症依赖基因。此外,研究者分析了亚型特异性药物疗法,包括针对S1亚型的7种药物、针对S2亚型的1种药物和针对S3亚型的4种药物
新闻图片5

磷酸化蛋白组分析发现了治疗KRAS突变癌症的药物组合
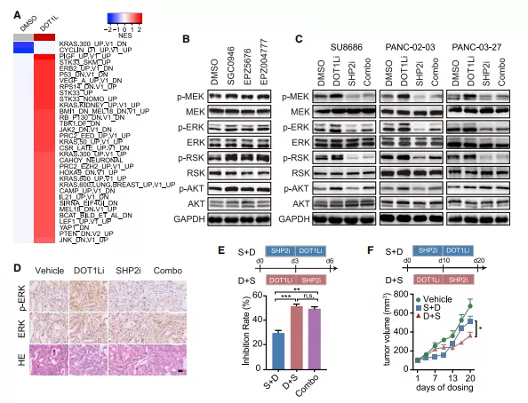
KRAS突变激活多个下游途径。先前的研究表明,阻断单个下游途径几乎不能获得治疗益处,这表明突变型癌症治疗的靶向信号补偿的可能性。因此,研究者提出了一个假设,即两种对同一组磷酸化蛋白显示大量反向相关性的药物可能有更高的机会显示协同效应,特别是当这些磷酸化蛋白在KRAS突变癌症中被共同激活时。

为了验证这一假设,研究者进行了一项补偿性磷酸化蛋白生物标志物分析(CPBA),最终共获得了41种药物组合。所有药物组合在S2亚型中通过了共激活分析,在S3亚型中通过了五种药物组合,而在S1亚型中没有药物组合通过。已确定的药物组合,包括MEK和SHP2的联合抑制剂以及MET和VEGFR的联合抑制剂,已被报道显示出对KRAS突变型癌症有很好的治疗效果。研究者进一步测试了五种新的药物组合,与任一单一疗法相比,所有药物组合在KRAS突变的PANC-03-27细胞中显示出显著更强的反应。在两个S2型细胞(PANC-02-03和NCI-H1373) 使用多剂量,进一步证实了这些药物组合的协同作用。这些结果表明,CPBA可能是一个有用的方法来预测药物组合对KRAS突变癌症的疗效
新闻图片6

DOT1L和SHP2联合抑制可以特异性治疗S2亚型的KRAS突变肿瘤
研究者关注到了靶向DOT1L和SHP2的抑制剂组合。DOT1Li-SHP2i组合之间的协同作用通过测量剂量依赖性反应得到证实。两种额外的DOT1L抑制剂,EPZ-5676和EPZ004777或同时敲除DOT1L和编码SHP2蛋白的PTPN11也得到了相似的结果。CPBA表明,DOT1Li-SHP2i组合具有治疗S2肿瘤的潜力,DOT1Li-SHP2i组合在S2亚型的KRAS突变肿瘤细胞系中引起了更强的抗肿瘤反应。此外,异种移植瘤模型实验也表明,DOT1Li-SHP2i组合能更有效地抑制S2亚型KRAS突变癌细胞系生长。以上结果表明,DOT1L和SHP2抑制剂的联用在治疗S2亚型的KRAS突变肿瘤中的潜在应用

DOT1Li-SHP2i联合治疗获益的分子基础研究
对用DOT1L抑制剂处理的癌细胞进行了RNA测序,结果显示了KRAS相关信号的上调、MAPK和PI3K/AKT上调。而与SHP2抑制剂联合治疗降低了MAPK信号而非AKT信号。在未能从DOT1Li-SHP2i组合治疗中获益的细胞系中,MAPK和AKT途径都没有被DOT1L抑制上调。这些发现表明DOT1Li-SHP2i组合的治疗益处与MAPK通路的上调有关。

研究者进一步研究了DOT1L抑制引起的MAPK途径的上调是否表明对该途径的生长依赖性增加。结果表明,用DOT1Li预处理,然后用SHP2i处理,导致细胞生长显著减少。然而,两种药物以相反的顺序治疗几乎没有抗增殖作用。异种移植瘤小鼠实验得到了同样的结果。这些结果共同表明DOT1Li增强了对MAPK途径的生长依赖性,并导致对SHP2抑制剂的易感性。
新闻图片7

抑制DOT1L引起MAPK/AKT通路的反馈上调的机制研究
研究者检测了DOT1L抑制后的肿瘤细胞的蛋白质组变化。49个基因在蛋白质组和RNA-seq数据中均上调。在前五名候选基因中,只有PREX1的转录水平在响应细胞和非响应细胞之间有显著差异。PREX1与MAPK和AKT通路相关,这是KRAS的典型下游通路。敲除PREX1可以消除DOT1L抑制对MAPK/AKT通路上调的影响。进一步的机制研究发现,DOT1L抑制导致PREX1基因启动子H3K79甲基化下降和H3K79乙酰化显著增加。综上所述,这些结果表明DOT1Li诱导的H3K79甲基化缺失可以促进PREX1基因位点上的H3K79乙酰化,促进PREX1表达和MAPK/AKT信号的反馈激活。这些变化增加了细胞生长对MAPK/AKT信号传导的依赖,并对SHP2/ERK或AKT抑制剂产生反应。
新闻图片8



研究总结
本研究对43种不同组织来源的KRAS突变癌细胞系进行了蛋白质组学和磷酸化蛋白组学检测,并结合公共转录组数据分析,将KRAS突变的癌细胞分为三个亚型:S1、S2和S3。同时,分别从mRNA水平、蛋白水平和磷酸化蛋白水平找到了特征分子。利用补偿的磷酸化蛋白质组生物标志物分析(CPBA)鉴定到了相当数量的药物对可能对治疗KRAS突变肿瘤有效。其中,对DOT1L和SHP2联合抑制的药物组合对S2亚型的KRAS突变癌细胞表现出了更好的抗肿瘤效果。机制上,DOT1L抑制诱导的组蛋白乙酰化增加了PREX1的转录,并导致MAPK和AKT信号的反馈激活,从而对SHP2/ERK或AKT抑制剂产生反应。


做蛋白组学· 找吉凯
吉凯基因凭借多年在靶标筛选及验证服务领域的技术积累,建立的标准化 、工程化 、系统化的GRP平台,为中国研究型医生提供科研服务,加快科研成果转化。其中,蛋白质组学平台拥有多台timsTOF Pro、Exploris 480高精度质谱仪,专业的Spectronaut Plusar、Mascot等分析软件,提供专业的4D、DIA、TMT、PRM、磷酸化修饰组等检测服务,强大的机器学习算法、IPA分析、蛋白基因组分析服务,系统的生物标志物、分子分型、药物靶点、基因功能研究等解决方案,真正让广大研究型医生的科研工作更省心、更省力、更高效。


更多实验服务请访问我们的官网:www.genechem.com.cn

上海吉凯基因医学科技股份有限公司
地址:上海张江高科技园区爱迪生路332号
邮编:201203 
全国热线:4006210302
售前顾问:18616237127;18616759206
邮箱:service@genechem.com.cn
官网:www.genechem.com.cn
 

上一篇

自古套路得人心!3-10分文章最常见实验思路(二):转录组+蛋白质组联合套路

下一篇

Nature 子刊:武汉同济医院研究团队揭示IL-6激活自噬并促进结直肠癌化疗抗性的新机制

更多资讯

我的询价