社交是一种基本的动物行为,在认知功能的发展中发挥重要作用。对于人类而言,被社交剥夺的儿童精神障碍和长期的学习记忆受损率高于正常儿童[1]。科学家们通过动物实验研究发现,围产期以及幼年期社交剥夺的动物会引起抑郁、焦虑、学习、记忆、决策等多个方面,并且会导致大脑解剖结构改变,这些实验支持了社交会影响发育的观点[2]。虽然我们已经了解社交在大脑发育过程中的重要性,但社交是如何影响认知相关神经环路的仍不清楚。
最近,休斯顿贝勒医学院癌症神经科学中心Benjamin Deneen团队在Neuron发表了题为” Social deprivation induces astrocytic TRPA1-GABA suppression of hippocampal circuits”的文章,通过社交剥夺的模型,他们发现星型胶质细胞上的TRPA1与抑制性神经递质GABA共同参与调节海马相关环路的功能[3]。

一直以来,人们大多关注社交剥夺后神经元功能障碍,但有证据表明社交剥夺后胶质细胞功能也会出现异常。如社交剥夺会导致前额叶皮层少突胶质细胞分化和髓鞘形成受损,并且星型胶质细胞数量减少等,但社交剥夺对胶质细胞生理功能以及对神经环路的影响仍不明确[4]。在正常的生理条件下,星型胶质细胞会释放大量可作用于突触额度神经递质,在信号传递中发挥重要作用。星型胶质细胞与神经元之间的交互多由Ca2+信号介导,调节星型胶质细胞Ca2+信号可引起神经环路的变化,并可影响一系列与学习记忆相关的高级认知功能,其中TRPA1就是一个调节胞外Ca2+流入星型胶质细胞胞内的重要离子通道[5]。
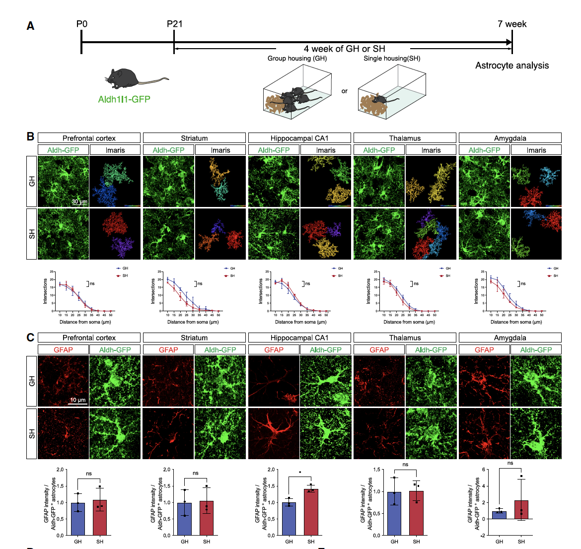
为了弄清楚社交剥夺具体会如何影响星型胶质细胞,研究者们建立了一个社交剥夺的模型。并对3周龄的Aldh1l1-GFP(特异性标记星型胶质细胞的小鼠品系)小鼠分别进行了为期4周的群居饲养(group housing,GH)或单笼饲养(single housing, SH)(图1A),在这之后对小鼠脑内星型胶质细胞的特性进行了观察,结果显示星型胶质细胞形态无明显变化(图1B),但单笼饲养的小鼠海马区GFAP荧光强度有明显上调(图1C)。研究者们还对两组小鼠进行了行为学筛查,结果显示SH组小鼠在新物体识别实验中的表现明显差于GH对照组(图2D),这说明社交剥夺会引起小鼠空间记忆明显受损。除此之外,SH组海马区星型胶质细胞Ca2+信号的频率、幅度及AUC都高于GH组(图2E)。
图1: 除海马区外,社交剥夺小鼠星型胶质细胞形态变化不明显
图2:SH小鼠出现空间记忆障碍,且海马区星型胶质细胞Ca2+信号异常
为了进一步了解社交剥夺对小鼠星型胶质细胞的影响,研究者们分别对GH和SH小鼠星型胶质细胞进行了单细胞测序。GO和KEGG分析表明SH组星型胶质细胞中与突触、Ca2+信号相关的通路上调(图3B),这也与Ca2+成像的数据一致。结合转录组学的数据与免疫组织学的结果发现,SH组与Ca2+信号相关的TRPA1蛋白明显上调(图3C)。
图3:社交隔离后星型胶质细胞TRPA1表达上调
为了研究TRPA1在社交剥夺后海马相关环路功能的作用,研究者们分别通过TRPA1拮抗剂HC抑制了GH和SH小鼠TRPA1的功能(图4D),结果显示抑制TRPA1可以缓解社交剥夺引起的小鼠空间记忆障碍(图4E)。
图4: 抑制TRPA1可缓解社交隔离引起的海马功能异常
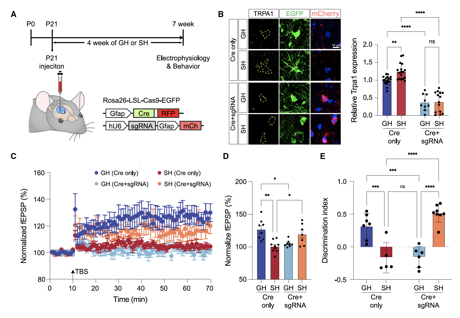
为了特异研究TRPA1在星型胶质细胞中的作用,研究者们基于Cre和CRISPR技术向GH或SH 组Rosa26-LSL-Cas9-EGFP小鼠海马区分别注射了仅携带Cre和Cre及sgRNA的AAV(图5A),从而达到特异性敲低小鼠海马TRPA1的效果(图5B)。并且特异性敲低海马星型胶质细胞TRPA1后,SH小鼠在新物体识别中出现的空间记忆障碍得到明显改善(图5E)。
图5:特异性敲低海马星型胶质细胞TRPA1可缓解社交隔离引起的空间记忆缺陷
转录组学和免疫组织学检测显示社交剥夺后,小鼠星型胶质细胞单胺氧化酶b(monoamine oxidase B, Maob)和GABA水平上调(图6A、B),这提示可能是由于星型胶质细胞GABA产生增多引起海马相关环路功能异常。为了评估Maob的作用,研究者们向SH小鼠脑内分别注射了对照病毒和可敲低Maob的shRNA(图7A),通过对LTP的记录,研究者们发现在社交剥夺后,海马Maob的表达明显下调(图7B),并且在敲除星型胶质细胞Maob后LTP得到了恢复(图7G)。另外,研究者们还通过带有Maob的顺行AAV病毒使星型胶质细胞过表达Maob(图7H),结果显示过表达Maob会引起空间记忆受损(图7J)。
图6: 社交隔离引起星型胶质细胞GABA产生增多

图7: 敲除Maob可缓解社交隔离引起的空间记忆缺陷
先前的研究表明,Best1负责星型胶质细胞GABA的释放,因此研究者们也对Best1的作用进行了探究。因此,研究者们使用携带可敲除Best1的AAV(图8A)特异性敲低小鼠脑内星型胶质细胞的Best1水平(图8B)。结果显示敲低海马星型胶质细胞的Best1可以缓解社交隔离引起的LTP降低(图8G)。这些研究表明,社交剥夺后星形胶质细胞释放的GABA 在海马回路功能的抑制中起直接作用。
图8:社交剥夺后,抑制Best1可使海马回路功能恢复
综上,社交剥夺会导致星型胶质细胞转录组学及Ca2+信号发生变化,这会引起GABA合成途径中TRPA1和其他关键成分的表达增加。研究者们通过对TRPA1的研究发现,抑制TRPA1可以恢复社交剥夺后海马功能异常及空间记忆受损。从机制上来讲,社交剥夺后海马环路功能受抑制是通过星型胶质细胞释放的GABA增多引起的。总之,这项研究揭示了社会环境对星型胶质细胞生理方面的影响,并确立了海马星型胶质细胞TRPA1-GABA信号的特异性作用。

公众号底部菜单栏【新功能】上线!
病毒实验帮
免费在线学习《国自然热点研究》、《数据库及软件操作教程》
一键下载《病毒使用手册》、《高分文献》
还有不定时的送新书、抽奖活动,赶紧来扫码关注一波吧
参考文献…
[1]. Pollak, S.D., Nelson, C.A., Schlaak, M.F., Roeber, B.J., Wewerka, S.S., Wiik, K.L., Frenn, K.A., Loman, M.M., and Gunnar, M.R. (2010). Neurodevelopmental effects of early deprivation in postinstitutionalized children. Child Dev. 81, 224–236.
[2]. Cacioppo, J.T., Cacioppo, S., Capitanio, J.P., and Cole, S.W. (2015). The neuroendocrinology of social isolation. Annu. Rev. Psychol. 66, 733–767.
[3]. Cheng et al., Social deprivation induces astrocytic TRPA1-GABA suppression of hippocampal circuits, Neuron (2023).