15 年
手机商铺
公司新闻/正文
4036 人阅读发布时间:2021-02-19 11:10
糖代谢异常是促进肿瘤发生发展的重要因素。肿瘤细胞通过糖酵解为自身的生命活动提供能量,其代谢产物乳酸通过改变肿瘤的微环境,从而促进肿瘤的发生发展。在这一过程中,乳酸转运能力的改变对肿瘤细胞糖代谢的调控起关键作用。既往研究表明,细胞膜表面的单羧酸转运体MCT4参与了肿瘤细胞的乳酸转运,MCT4膜定位需要其与肿瘤相关抗原CD147的相互作用。然而,调控两者相互作用的机制仍不明确。
2021年1月5日,空军军医大学国家分子医学转化中心陈志南院士团队在Cell Metabolism(IF=21.567)上发表题为“Di-methylation of CD147-K234 Promotes the Progression of NSCLC by Enhancing Lactate Export”的研究成果,该研究阐述了CD147-K234二甲基化修饰(CD147-K234me2)增强CD147和MCT4的相互作用,促进非小细胞肺癌(NSCLC)糖酵解和乳酸外排,进而调节肿瘤恶性行为的分子机制。

点击这里获取文献原文
研究方法
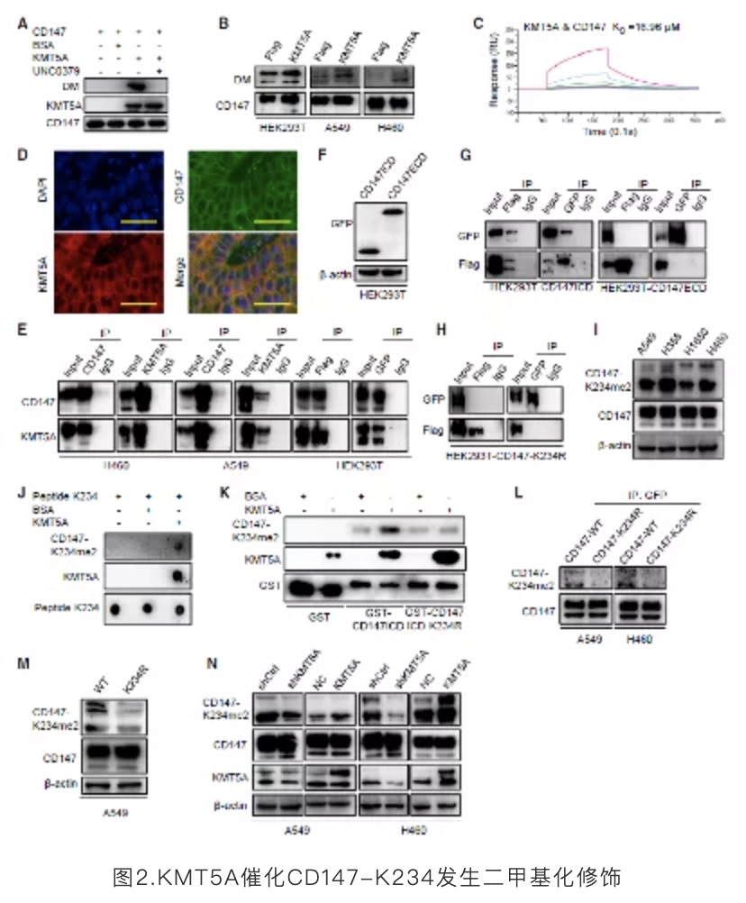
该研究中,作者通过LC-MS/MS质谱技术在NSCLC组织中检测到CD147分子多个赖氨酸位点的二甲基化修饰,同时纯化肿瘤细胞中的CD147,进一步利用免疫印迹法证实了CD147二甲基化修饰的存在。

为了寻找催化CD147发生甲基化修饰的甲基转移酶,作者利用免疫共沉淀技术发现甲基转移酶KMT5A与CD147存在相互作用。体外甲基转移酶反应表明KMT5A可催化CD147发生二甲基化修饰。
随后作者利用免疫共沉淀、SPR和点突变方法发现突变体CD147-K234R与KMT5A的相互作用减弱,提示KMT5A催化CD147-K234发生二甲基化修饰。同时,作者制备了针对CD147-K234me2的特异性抗体,利用吉凯基因的慢病毒产品shKMT5A、KMT5A overexpression、CD147-WT overexpression和CD147-K234R overexpression构建了稳定干涉KMT5A和稳定过表达KMT5A、CD147-WT和CD147-K234R的肺癌细胞系,免疫印迹结果表明干涉KMT5A会降低CD147-K234me2的水平,过表达KMT5A会显著增加CD147-K234me2的水平。与CD147-WT细胞相比,CD147-K234R细胞的CD147-K234me2水平显著降低。同时通过体外甲基转移酶反应和突变细胞系等进一步证实了KMT5A催化CD147-K234发生二甲基化修饰。

接着,作者利用上述稳定细胞株进行葡萄糖摄取、乳酸脱氢酶活性和乳酸等糖酵解指标检测及免疫共沉淀、免疫荧光等实验,结果表明KMT5A表达的增加提高了CD147-K234me2的水平,进一步促进了CD147与MCT4之间的相互作用,从而增强了MCT4从细胞质向细胞膜的转运。CD147-K234me2和KMT5A的过表达增强了NSCLC细胞的糖酵解和乳酸输出,从而促进了肿瘤的进展。临床分析表明,NSCLC组织中CD147-K234me2的表达水平越高,患者的总生存期越短;同时,CD147-K234me2的表达水平与肿瘤进展情况呈正相关,且对评价NSCLC患者的预后具有重要意义。

总结
该研究首次发现KMT5A可催化CD147分子发生二甲基化修饰,并详细阐述了CD147-K234me2通过增强CD147和MCT4的相互作用促进MCT4从胞浆向细胞膜转运,进而调控NSCLC糖酵解和乳酸外排的分子机制。该研究从蛋白质翻译后修饰水平阐述了CD147在肿瘤代谢中的作用,进一步拓展了CD147分子推动肿瘤进展的新机理,为肺癌靶向治疗提供了新思路。
吉凯助力
2. 用于过表达CD147-WT和CD147-K234R的慢病毒由吉凯基因提供,感染肿瘤细胞系(图B);

同时,DsRed2-N1-MCT4、Flag-KMT5A 、Flag-SMYD2 和Flag-SMYD3等四个过表达质粒也由吉凯基因提供进行瞬时转染实验。

欢迎扫码来与技术顾问交流,还可以获得免费的直播课程➕学习资料
作者简介
空军军医大学国家分子医学转化中心陈志南院士、边惠洁教授和朱平教授为共同通讯作者,王珂助理研究员、黄婉副教授和陈若助理研究员为共同第一作者。