15 年
手机商铺
公司新闻/正文
353 人阅读发布时间:2025-09-11 09:46

近日,华中科技大学同济医学院附属协和医院张宇坤教授团队在《Bone Research》上发表题为“Chaperone-mediated autophagy directs a dual mechanism to balance premature senescence and senolysis to prevent intervertebral disc degeneration”的研究论文。该研究揭示了分子伴侣介导的自噬(CMA)通过双向调控髓核细胞(NPC)的早衰与清除,阻止椎间盘退变(IDD)的新机制,为以CMA为靶点干预年龄相关退行性疾病提供了新的理论依据和治疗策略。
研究背景
椎间盘退变(IDD)是一种常见的慢性脊柱退行性疾病,髓核细胞(NPC)的衰老及其分泌的表型(SASP)在IDD进程中起关键作用。分子伴侣介导的自噬(CMA)作为一种选择性溶酶体降解途径,与炎症和细胞衰老密切相关,但其在NPC衰老自我放大回路中的具体作用尚不明确。
研究结果
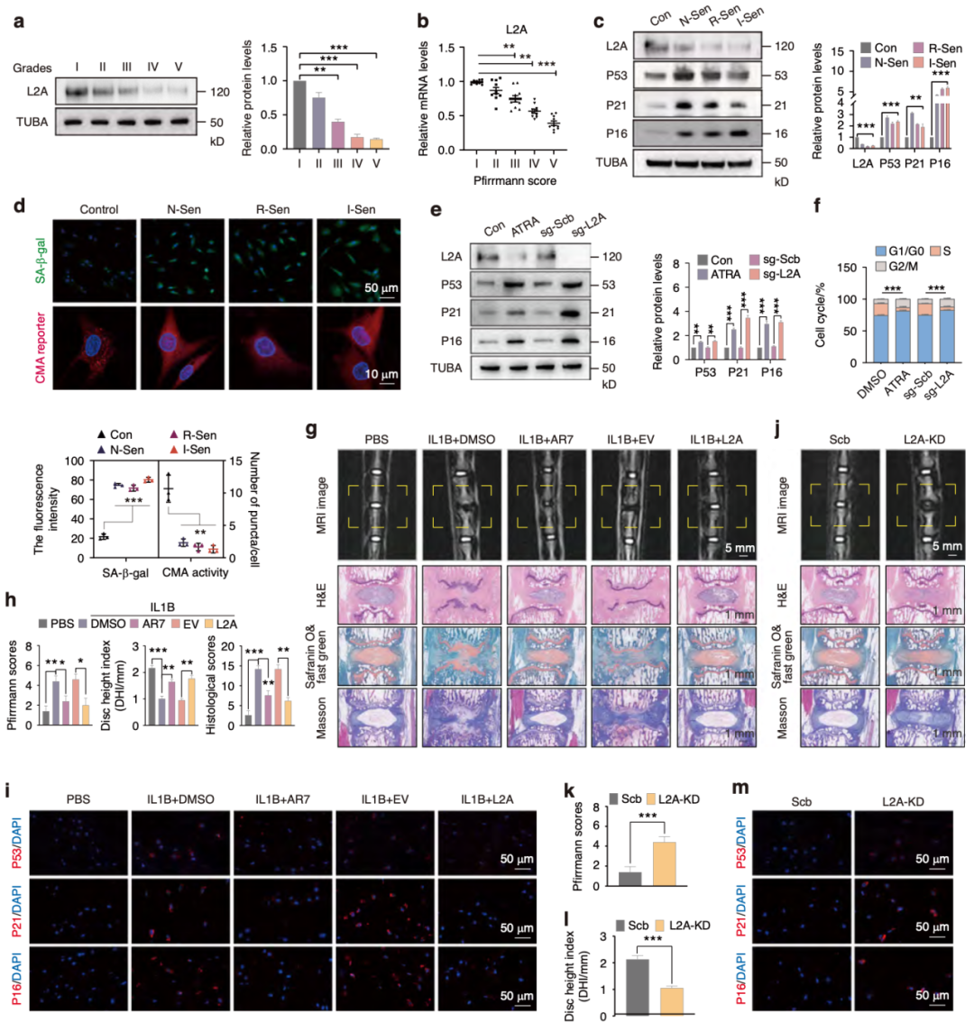
研究人员在大鼠椎间盘退变模型中证实,局部注射CMA激活剂AR7或LAMP2A过表达慢病毒可显著缓解IL-1β或针刺引起的椎间盘退变,改善MRI和组织学评分,降低衰老细胞负荷。相反,抑制CMA则加速IDD进程。这些结果表明,CMA的激活对于椎间盘的年轻态至关重要。

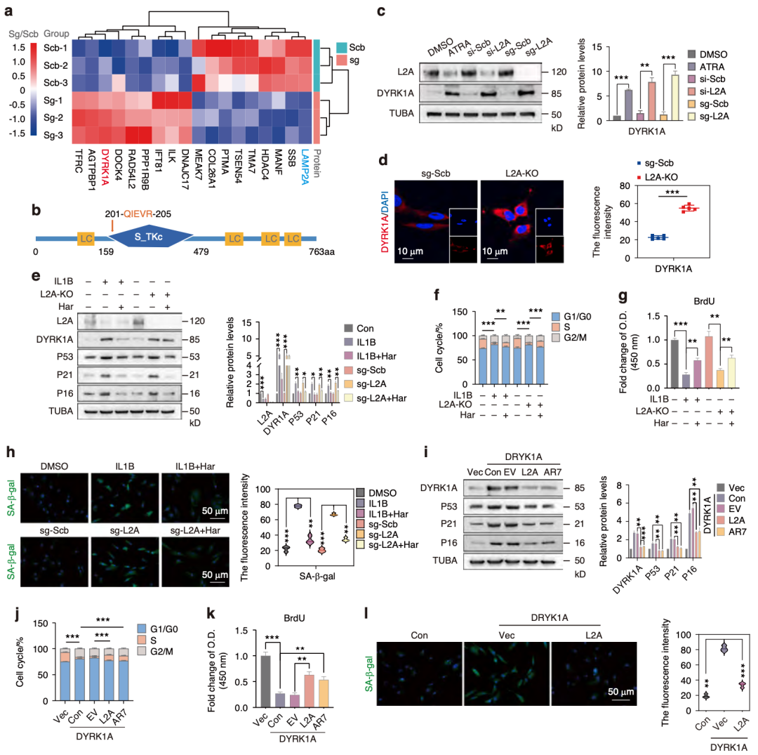
研究人员发现,在人退变椎间盘组织中CMA关键蛋白LAMP2A表达显著降低;在多种衰老NPC模型中,CMA活性均下降。通过构建LAMP2A敲除的NPC模型并进行蛋白质组学分析,发现DYRK1A——一种与唐氏综合征早衰相关的核心介质——在CMA缺陷型NPC中显著上调,并证实其是推动NPC早衰的关键驱动因子。进一步机制研究表明,在IL-1β刺激或CMA抑制条件下,DYRK1A通过促进转录因子FOXC1的磷酸化与核转位,启动细胞周期阻滞相关基因的转录,从而诱导NPC衰老。

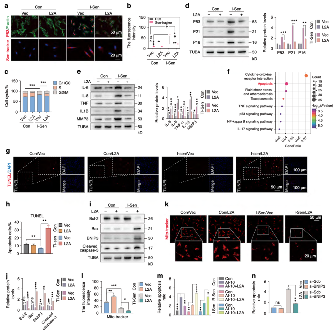
研究人员发现CMA激活不仅能延缓正常NPC的衰老,还能特异性地诱导已衰老NPC发生凋亡。转录组测序显示,CMA激活显著富集凋亡相关通路。在IL-1β诱导的衰老NPC中,过表达LAMP2A可下调衰老标志物,同时升高凋亡相关蛋白Bax/BCL-2比值及cleaved Caspase-3水平,诱导线粒体途径凋亡。这表明CMA激活可促使衰老NPC由“衰老”向“凋亡”转变,实现对其特异性清除。
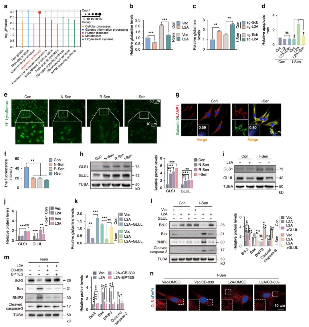
CMA抑制导致NPC谷氨酰胺代谢流增强,促进衰老NPC的存活。进一步机制研究发现,谷氨酰胺合成酶GLUL是CMA的另一关键底物。CMA激活通过降解GLUL降低细胞内谷氨酰胺水平,进而诱发谷氨酰胺酶GLS1形成纤维状聚合物,后者具有促凋亡毒性,从而特异性地清除衰老NPC。而正常NPC因不依赖高水平谷氨酰胺代谢,故不受CMA激活的凋亡诱导影响。
该研究不仅揭示了CMA在椎间盘衰老过程中的关键保护作用和新机制,还提出了CMA激活剂作为一种具有细胞状态选择性的“senolytic”策略,相较于现有广谱senolytic药物,具有更好特异性及临床应用安全性,为IDD的病因性治疗和靶向药物研发提供了新思路。
吉凯助力
研究中所使用Lenti-Easy Packaging Mix慢病毒包装试剂盒,LAMP2A过表达慢病毒均由上海吉凯基因提供。
作者简介
华中科技大学同济医学院附属协和医院骨科张宇坤教授为本文通讯作者,程章荣博士、高海洋博士、石鹏志博士为共同第一作者。该研究得到了国家自然科学基金(No. 82172497)等项目的支持。

