上海吉凯基因医学科技股份有限公司品牌商

15

手机商铺

qrcode
商家活跃:
产品热度:
  • NaN
  • 0.5
  • 0.5
  • 1.5
  • 0.5
第二代悬浮细胞专用慢病毒
询价
品牌商

上海吉凯基因医学科技股份有限公司

入驻年限:15

  • 联系人:

    付经理

  • 所在地区:

    上海 浦东新区

  • 业务范围:

    技术服务、试剂

  • 经营模式:

    生产厂商 科研机构 代理商

在线沟通

公司新闻/正文

神经环路研究工具病毒系列之『顺行示踪病毒』

1772 人阅读发布时间:2020-08-24 15:40

神经环路作为大脑运行不同功能的结构基础,近年来已成为神经科学研究的热点之一。工具病毒作为高效的表达载体,经过不断地发展,目前已开发出一系列适用于神经环路研究的工具病毒。如顺行示踪病毒、逆行示踪病毒、神经环路操控病毒、神经环路记录病毒等。我们将通过一系列文章详细介绍不同的神经环路研究工具病毒。本文首先给大家介绍一下神经环路研究中常用的顺行示踪病毒。
 
目前神经环路研究中常用的顺行示踪病毒如下表所示:
新闻图片1
接下来,介绍一些具体的顺行示踪病毒:
 
1 顺行跨多级突触示踪病毒-HSV-1-H129
单纯疱疹病毒(Herpes simplex virus,HSV)属于疱疹病毒科、α疱疹病毒亚科,有HSV-1和HSV-2两种亚型。其中HSV-1型H129毒株具有顺行跨突触的特性(图1)。
新闻图片2
图1. HSV-H129株特异性顺向跨突触传播
 
通过对H129毒株基因组改造,使其携带多个荧光蛋白(如GFP、tdTomato、mCherry等)基因拷贝,其感染神经元后表达荧光蛋白并自我复制产生新的病毒颗粒,通过轴突末梢释放到突触间隙后经突触后膜感染下游神经元胞体,并且表达荧光蛋白,依次重复进而标记出下游多级神经元。
 
WB Zeng等人通过对H129改造得到H129-G4,注射小鼠大脑皮层M1区后清晰示踪出M1区神经元下游投射(图2)。
新闻图片3
 
图2. H129-G4顺行标记示踪神经环路效果图
(Zeng et al. Molecular Neurodegeneration (2017) 12:38)
 
顺行跨单级突触示踪病毒
目前常用的顺行跨单级突触示踪病毒主要有两种:HSV-1-H129-△TK和AAV1。

HSV-1-H129-△TK 是将HSV-1-H129复制所需的TK基因缺失掉,当感染神经元后,HSV-H129-△TK能够正常表达荧光蛋白,但因缺乏TK蛋白而无法自我复制,不能传递到下一级神经元。当利用腺相关病毒载体在细胞内表达TK蛋白后,病毒获得自我复制能力,通过突触结构传递到下一级神经元,由于下一级神经元中没有TK蛋白,因此病毒将不再继续传递下去,因而实现了顺行跨单级突触的标记示踪(图3)。
 
新闻图片4
图3.HSV-1-H129-△TK顺行跨单级突触示踪原理图
 
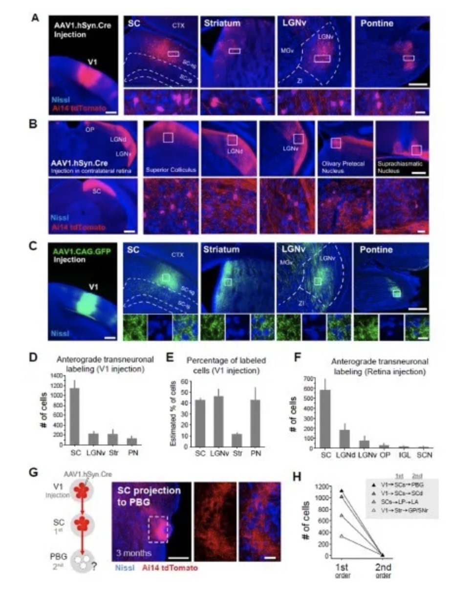
AAV1即血清型1型的腺相关病毒,Li I. Zhang等人发现给予Ai14小鼠大脑V1区注射高滴度的AAV1-Cre后,下游 SC、Striatum、LGNv、Pontine等脑区均看到神经元表达tdTomato,提示AAV1-Cre可能跨过突触在下一级神经元中表达Cre。接着又给予Ai14小鼠视网膜注射AAV1-Syn-Cre,发现在视网膜神经节细胞投射的脑区均观察到tdTomato阳性的神经元,而这些脑区均无输出神经元投射到视网膜,因此证明AAV1可以顺行跨单级突触传递(图4)。
新闻图片5
图4. AAV1顺行跨单级突触示踪神经环路效果图
(Li I. Zhang,et al., Neuron, 2017)
然而相较于HSV,AAV1的跨突触效率极低,而且一般仅适用于在下游神经元表达Cre等重组酶蛋白,无法有效表达荧光蛋白及其它目的基因,因此顺行跨单级突触示踪优先推荐使用HSV-1-H129-△TK。
 
顺行非跨突触示踪病毒-AAV9
AAV9感染神经元胞体后可以沿轴突顺行标记出神经末梢,但能跨过突触结构传递到下一级神经元。目前被广泛的用于示踪神经元下游直接投射脑区。如图5,通过注射AAV9示踪limbic TRN和sensory TRN区PV阳性神经元的下游投射脑区。
 
新闻图片6
图5. 利用AAV9示踪小鼠limbic TRN和sensory TRN区神经元投射脑区(Ping Dong,et al., Nature Neuroscience, 2019)
 
吉凯基因具备全套的神经环路顺行示踪病毒现货产品,并提供个性化的定制服务,满足各位老师的顺行非跨突触、跨单级突触、跨多级突触示踪需求。产品详情欢迎登陆吉凯官方商城查询。
 
新闻图片7
欢迎扫码垂询⬆️
 

上一篇

SnapGene 视频教程:教您一款功能强大的 DNA 序列编辑及分析软件

下一篇

组织特异性干扰怎么做——基于miRNA骨架设计shRNA

更多资讯

我的询价