15 年
手机商铺
公司新闻/正文
209 人阅读发布时间:2025-12-05 14:24
近日,复旦大学附属中山医院詹成副研究员与葛棣教授团队在《Cancer Letters》上发表题为“Targeting inosine metabolism to enhance EGFR-targeted therapy in lung adenocarcinoma” 的研究论文。
研究显示,肌苷可以调控肺腺癌细胞中能量代谢重编程并诱导巨噬细胞M2极化,从而诱导EGFR-TKI药物耐药。通过靶向肌苷代谢,为解决EGFR-TKI耐药难题提供了全新的治疗方向。

本研究所使用敲除/过表达慢病毒均由吉凯基因提供。
研究背景
代谢重编程已被证实是恶性肿瘤的重要标志之一。通过代谢重编程,肿瘤细胞能够更有效地利用营养物质,产生更多的ATP,满足其快速增殖的能量需求。近年来研究发现,肿瘤细胞的代谢重编程在耐药过程中扮演着关键角色。
研究结果
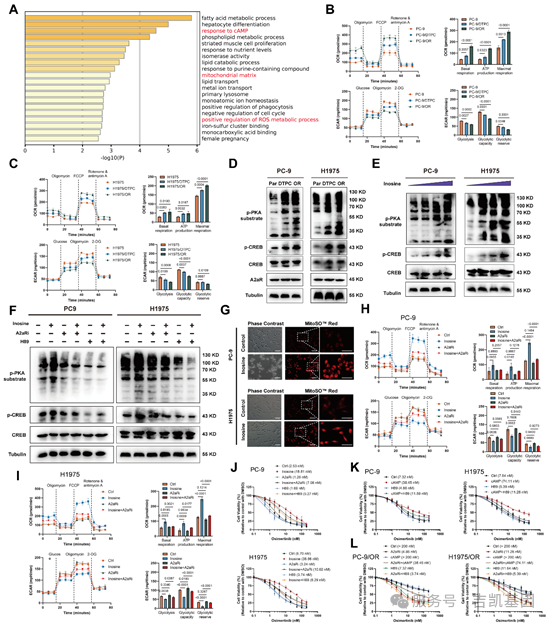
01 肌苷在EGFR-TKI耐药细胞中含量显著上升
本研究通过长期奥希替尼诱导处理构建了EGFR-TKI耐药肺腺癌细胞系。随后通过代谢组学筛选,发现在EGFR-TKI耐药细胞系中,肌苷含量明显上升。并通过体外体内实验证实,过量的肌苷会诱导肺腺癌细胞对EGFR-TKI药物耐药。

02 肌苷促进能量代谢重编程促进耐药
进一步研究显示,肌苷可以作用于细胞上的A2aR受体,激活cAMP-PKA-CREB通路,进而增强线粒体功能,促进细胞能量代谢从糖酵解为主转变为氧化磷酸化为主。增强了肿瘤细胞的能量供应,使其抵抗药物的能力增强。

03 靶向抑制肌苷通路显著增强EGFR-TKI的抗肿瘤疗效
基于上述机制,研究通过体内实验验证靶向肌苷通路与EGFR-TKI联合应用的协同效果。选用目前已进入临床研究的A2aR抑制剂NIR178。 人肺癌类器官、细胞来源异种移植模型(CDX)及EGFR L858R/T790M自发肺癌小鼠模型中,NIR178与奥希替尼联合治疗均展现出显著的协同抗肿瘤效应,不仅有效缩小肿瘤体积,还显著延长了小鼠的生存期。同时免疫荧光实验还显示,该抑制剂可以抑制巨噬细胞M2方向极化。

总结与展望
吉凯助力
本研究所使用敲除/过表达慢病毒均由吉凯基因提供。